wisonic-凯发官方

"21.3" large portrait touchscreen
probe disinfection holders
efficient storage solution
electrical height adjustment
long lasting battery( > 6 hrs)
ai leads the future
continuously optimizing the recognition model by integrating ai
automatically learn the structural features of neurosonography
precisely identify nerves
winerve ai nerves recognition system
ai-powered smart recognition automatically detects and highlights critical anatomical structures such as nerves, muscles, and blood vessels. with clear, color-coded annotations, it enhances recognition accuracy and reduces operator dependency
by leveraging advanced deep learning algorithms, winerve supports faster decision-making, improves confidence during procedures, and provides consistent results even in complex cases
wiguide intelligent magnetic navigation
free plane navigation with adaptive needle recognition
wiguide provides real-time, color-coded needle tracking, enabling clinicians to clearly visualize the needle path and tip in any plane. it ensures accurate alignment and trajectory before puncture, supporting safer and more precise ultrasound-guided procedures
wilaser navigation technology
wilaser delivers precise laser navigation by projecting an exact entry line on the patient’s skin, guiding both in-plane and out-of-plane interventions
even with the transducer fully draped during sterile procedures, clinicians can confidently identify the needle entry point for safer and more accurate targeting
wineedle intelligent needle visualization
wineedle intelligently enhances needle visualization by automatically optimizing the ultrasound beam angle
it delivers a clearer, more intuitive view of the puncture path, improving accuracy and reducing the risk of mis puncture or injury
holobeam holographic focusing platform
experience next-generation ultrasound imaging with holobeam, wisonic’s advanced holographic focusing technology
designed for exceptional clarity and precision, it brings high-end imaging to every procedure
holobeam delivers sharper, faster, and more intelligent imaging
so clinicians can focus on what matters most: accurate diagnosis and confident decision-making
probe family
a wide range of transducers
including our innovative button transducer, designed to cover the full spectrum of anesthesia and pain management applications
delivering precision and versatility in every procedure
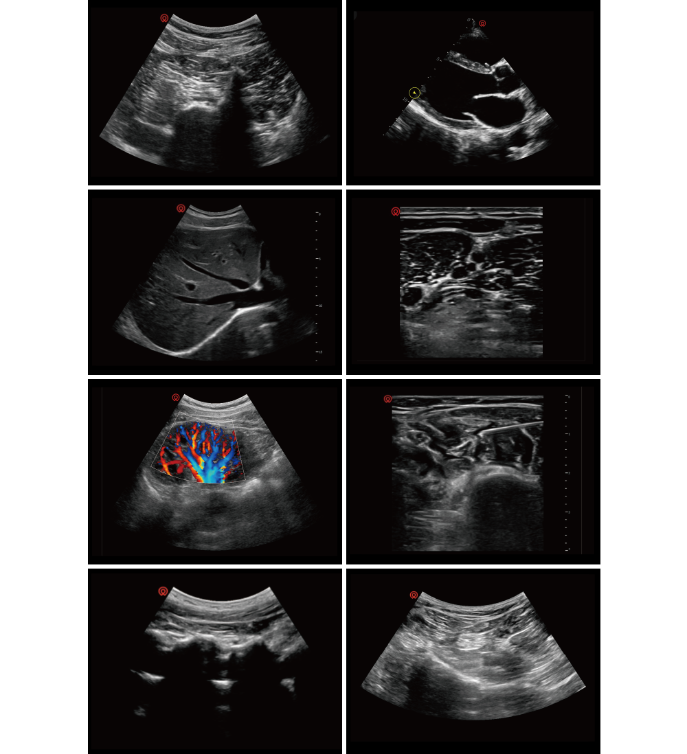
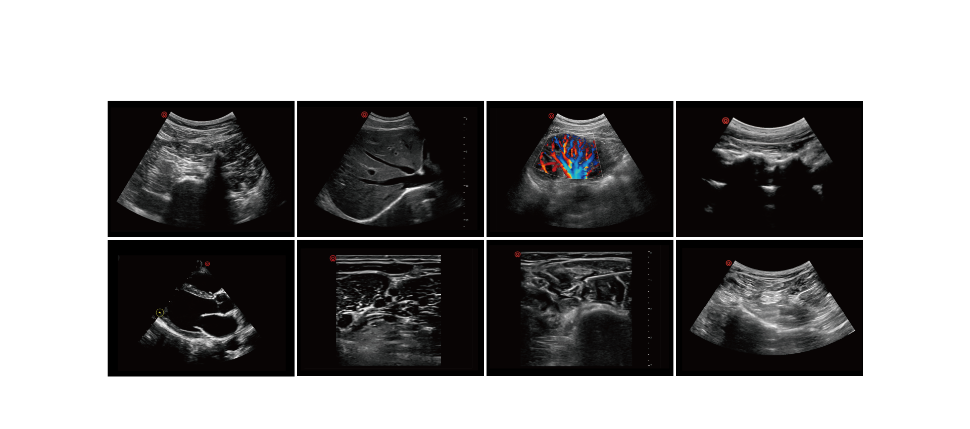
excellent clinical images
application pictures
product pictures
login
register
have an account?
apply for a job
网站地图