北斗|华声医疗-凯发官方

21.3 英寸超大尺寸全触摸显示屏
防炫、全尺寸、抗电刀、高灵敏度
极简控制面板
支持指纹识别、轨迹球精细调节等
超大的全触摸显示屏
支持液体消毒
多点触控
专为临床定制的极简面板
高灵敏度防水轨迹球
防泼洒
万向拨杆旋钮
一键电动高度升降
20cm升降高度
耐用、低噪音电机
全天候续航电池
超长续航时间
独立的续航时间显示
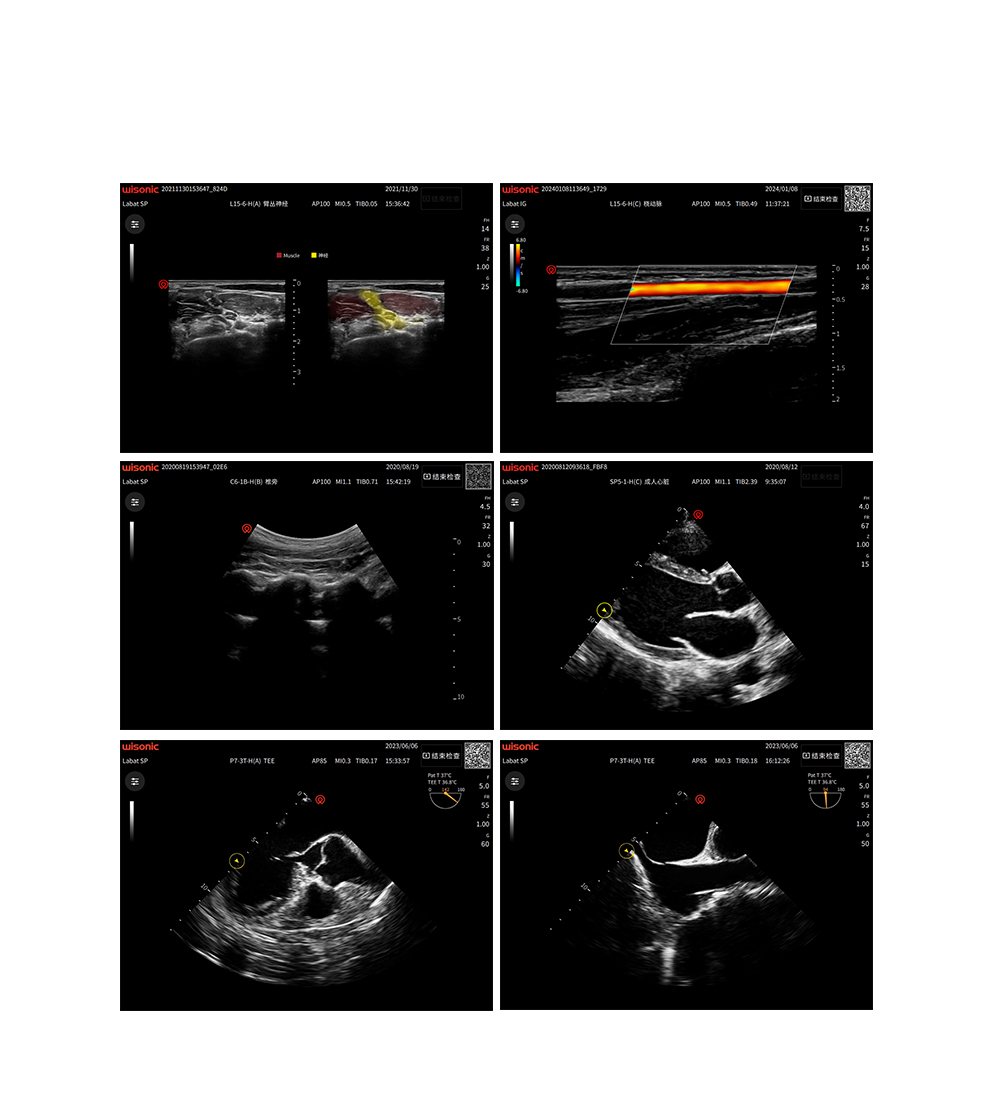
winerve ai神经识别
实时识别
云端进化
支持多种部位
wishow教学录制
支持usb摄像头直插
操作手法、超声图像、语音三同步录制
现场投屏教学
超长时间录制
wiguide磁导航穿刺针定位
支持平面外和平面内
实时定位
实时空间3d图示指引
全智能穿刺增强
声束自动偏转
自动检测针体
智能增强针尖和针体
wilaser激光导航系统
术中精准定位
北斗探头全家福
完善的探头种类
提供麻醉、疼痛的全应用
美图鉴赏
临床图片
产品图片
登录
未有账号?
注册
已有账号?
申请职位
网站地图